home
about
services
articles
gallery
contact
Log In|Log Out
Image Gallery
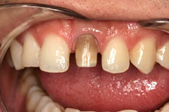
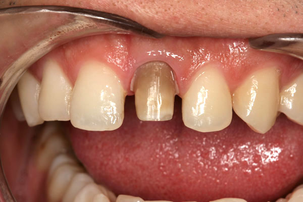
Before...
Image 1 of 2